Translate this page into:
The Imaging Gamut of Von-Hippel-Lindau
Corresponding author: Nidhi Prabhakar, Department of Radiodiagnosis and Imaging, Postgraduate Institute of Medical Education and Research, Chandigarh, India. E-mail: nidhirajpalprabhakar@gmail.com
-
Received: ,
Accepted: ,
How to cite this article: Prabhakar N, Bansal A, Bora GS, Prabhakar A. The Imaging Gamut of Von-Hippel-Lindau. Indian J Nephrol. 2025;35:576-7. doi: 10.25259/IJN_659_2024
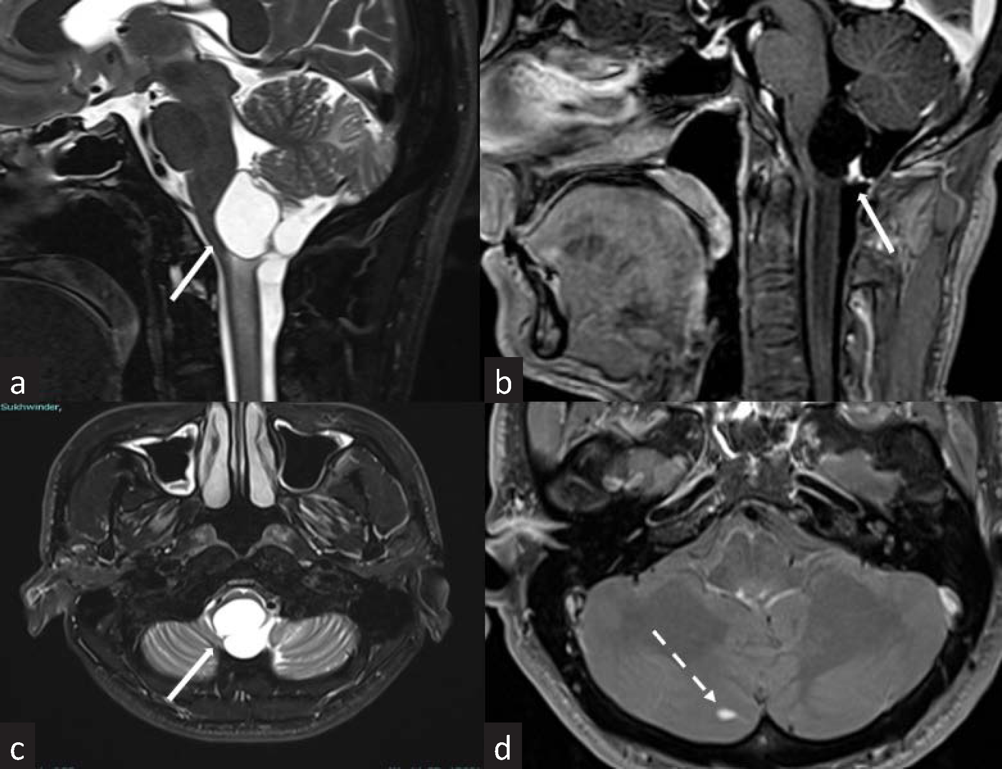
A 34-year-old man presented with progressive abdominal pain, occasional headaches, and excessive sweating for over a year. A contrast-enhanced computed tomography (CT) of the abdomen revealed heterogeneously enhancing and similar solid-cystic lesions in both adrenal glands and kidneys indicating pheochromocy and renal cell carcinomas, respectively, along with a few simple cortical cysts. Subcentimetric cysts were also seen in the pancreatic head [Figure 1]. Suspecting Von-Hippel-Lindau (VHL) syndrome on the basis of these findings, we performed magnetic resonance imaging (MRI) of the brain and spine. It revealed a cystic T1 hypointense and T2 hyperintense medullary lesion with an enhancing nodule, suggesting a brainstem hemangioblastoma. Intensely enhancing nodules were also seen within both cerebellar hemispheres, suggesting cerebellar hemangioblastomas [Figure 2]. On positron emission tomography imaging, the cerebellar and adrenal lesions were somatostatin receptor-expressing, whereas renal lesions were non-somatostatin receptor-expressing. Genetic testing revealed a heterogenous nonsense variation in exon 3 of the VHL gene, confirming the diagnosis. He underwent laparoscopic bilateral adrenalectomy and is on follow-up for the renal lesions.

- Contrast-enhanced CT images of a 34-year-old man with VHL. (a-b) Bilateral complex renal cystic lesion with heterogeneously enhancing solid internal components: renal cell carcinoma (solid white arrows) with nonenhancing subcentimeter hypodense lesions of cystic attenuation in the pancreatic head; simple pancreatic cysts (dashed white arrow). (c) Heterogeneously enhancing soft tissue density mass with hypodense internal areas involving bilateral adrenal glands: pheochromocytomas (black arrows). CT: Computed tomography, VHL: Von-Hippel-Lindau.

- MRI images of brain and cervical spine of a 34-year-old man with VHL. (a-c) Sagittal and axial T2 weighted and postcontrast images reveal a well-defined T2 hyperintense cystic lesion with hyperenhancing mural nodule within the dorsal aspect of the medulla: hemangioblastoma (solid white arrows). (d) Axial postcontrast images show a small intensely enhancing area in the right cerebellar hemisphere: cerebellar hemangioblastoma (dashed white arrow). VHL: Von-Hippel-Lindau.
VHL syndrome develops due to a mutation on the short arm of chromosome number 3.1–3 It causes various tumors involving different organs.2–4 The syndrome can be diagnosed in patients with a VHL variant gene if they have one VHL manifestation. In patients without the VHL variant gene or affected first-degree relatives, diagnosis can be established if they have at least two manifestations, one being a hemangioblastoma. Other manifestations include renal cell carcinoma, pancreatic neuroendocrine tumor, pheochromocytoma, and endolymphatic sac tumor.5 Imaging is often the first diagnostic workup performed in most patients. The physician/radiologists need to be cognizant that such a constellation of lesions on CT/MRI points to a diagnosis of VHL.
Conflicts of interest
There are no conflicts of interest.
References
- Tumors in von Hippel-Lindau syndrome: From head to toe-comprehensive state-of-the-art review. Radiographics. 2018;38:982.
- [CrossRef] [PubMed] [Google Scholar]
- Imaging features of Von Hippel-Lindau disease. Radiographics. 2008;28:65-79; quiz 323.
- [CrossRef] [PubMed] [Google Scholar]
- Von Hippel-Lindau disease: Review of genetics and imaging. Radiol Clin North Am. 2016;54:409-22.
- [CrossRef] [PubMed] [Google Scholar]
- Imaging manifestations of Von Hippel-Lindau disease: An illustrated guide focusing on the central nervous system. Radiol Bras. 2022;55:188-92.
- [CrossRef] [PubMed] [PubMed Central] [Google Scholar]
- von Hippel-Lindau disease: Updated guideline for diagnosis and surveillance. Eur J Med Genet. 2022;65:104538.
- [CrossRef] [PubMed] [Google Scholar]